Unknown 69

Mould identification: a virtual self assessment

Case history

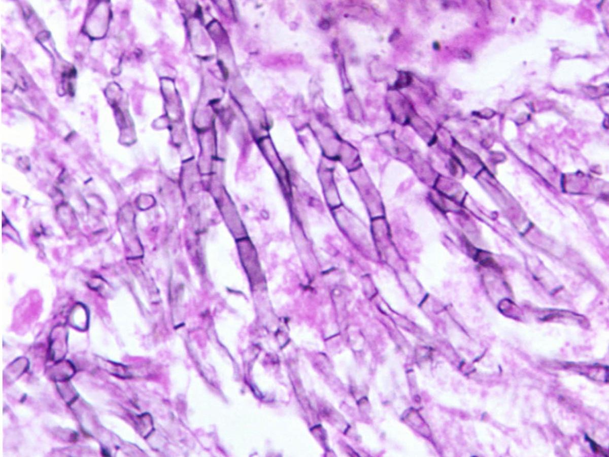
A 51-year old, immunocompromised man presented with chronic unilateral otomycosis which had been unresponsive to a variety of treatment regimens. The patient described with intermittent otalgia and otorrhea and examination revealed a perforation of his left tympanic membrane. Microscopy of debris showed the presence of septate hyphae and the culture below was grown.

Unknown 69 direct microscopy

Culture

Unknown 69 culture

Culture

Unknown 69 microscopy

Microscopy

What is your identification?