Status message
Correct! Excellent, you have really done well. Please find additional information below.
Unknown 10 = Talaromyces marnefei
Clinical presentation: Lesions that mimic Molluscum contagiosum are typical in patients with T. marneffei infection. This patient also had a travel history to Hong Kong and Southern China.
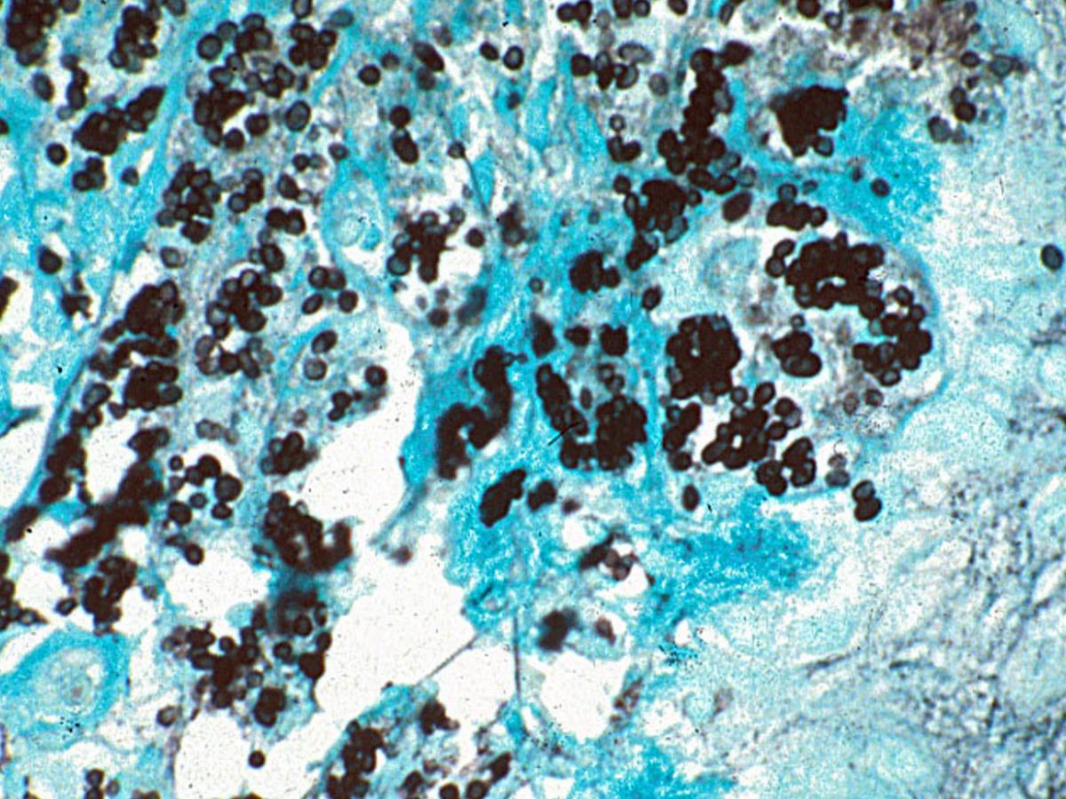
Direct microscopy (GMS staining): The yeast-cells are spherical to ellipsoidal, 2 to 6 um in diameter, and divide by fission rather than budding, a characteristic visible on stained touch smears that distinguishes T. marneffei from Histoplasma capsulatum.

A Giemsa stained touch smear of a skin biopsy or bone marrow aspirate is a rapid and sensitive diagnostic method that readily demonstrates the presence of typical yeast-like cells with a central septa, either within histiocytes or scattered through the tissue.

Culture: On Sabouraud's dextrose agar at 25C, colonies are fast growing, suede-like to downy, white with yellowish-green conidial heads. Colonies become greyish-pink to brown with age and produce a diffusible brownish-red to wine red-pigment.

Microscopy: Conidiophores are hyaline, smooth-walled and bear terminal verticils of 3 to 5 metulae, each bearing 3 to 7 phialides. Conidia are globose to subglobose, 2 to 3 um in diameter, smooth-walled and are produced in basipetal succession from the phialides.

Comment: Talaromyces marneffei exhibits thermal dimorphism by growing in living tissue or in culture at 37C as a yeast-like fungus or in culture at temperatures below 30C as a mould. It has a propensity to cause disease in the normal host, as well as in immunosuppressed patients, but significantly, it has now become a major opportunistic pathogen in HIV positive patients in Indochina. Many cases have been reported with the majority of these coming from Chiang Mai in northern Thailand. Other predisposing factors include lymphoproliferative disorders, bronchiectasis and tuberculosis, autoimmune diseases and corticosteroid therapy. To date, all naturally occurring infections have been in residents of, or travellers to, southeast Asia; especially northern Thailand, Vietnam, Hong Kong, Taiwan and southern China. Imported cases of T. marneffei infections have been reported from Australia, France, Italy, Netherlands, UK and USA.
About Talaromyces Back to virtual assessment