Unknown 29

Mould identification: a virtual self assessment

Case history

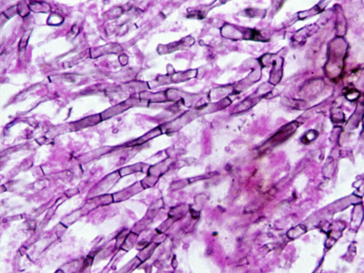
A 6 year old boy with chronic granulomatous disease presented with chronic pulmonary infiltrates.  A needle biopsy showed the presence of hyphal elements on a Grocott’s methenamine silver (GMS) stained tissue section and the culture shown below was grown.

Unknown 29 direct microscopy (GMS)

Direct microscopy (GMS)

Unknown 29 culture

Culture

Unknown 29 microscopy - 1

Microscopy

Unknown 29 microscopy - 2

Microscopy

Unknown 29 microscopy - 3

Microscopy

What is your identification?