Unknown 41

Mould identification: a virtual self assessment

Case history

A 35-year-old retired painter with chronic myeloid leukaemia complicated by acute graft-versus-host disease developed a necrotising pneumonia with a bronchopleural fistula. Lobectomy showed the presence of filamentous hyphae and the culture below was isolated.

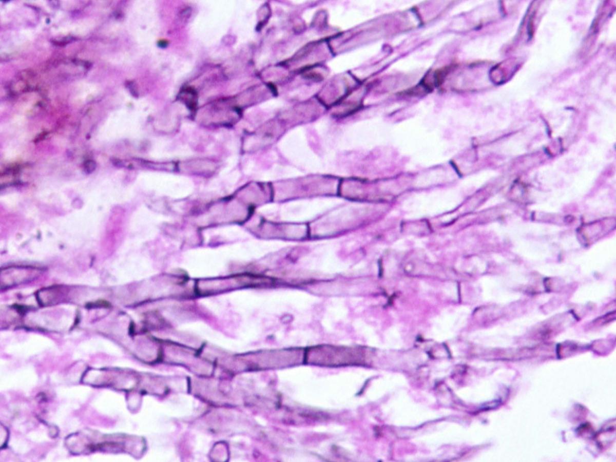
Unknown 41 direct microscopy - 1

Direct microscopy

Unknown 41 direct microscopy - 2

Direct microscopy

Unknown 41 culture

Culture

Unknown 41 microscopy - 1

Microscopy

Unknown 41 microscopy - 2

Microscopy

What is your identification?