Status message
Correct! Excellent, you have really done well. Please find additional information below.
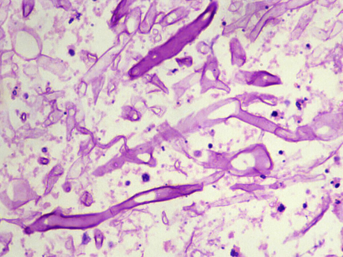
Unknown 66 = Cunninghamella bertholletiae
Direct microscopy: Tissue morphology in zygomycosis showing distinctive infrequently septate thin walled hyphae with focal bulbous dilations and irregular branching, typical for those species belonging to the Mucorales.

Culture: 24 hours growth: Colonies on Sabouraud's agar are very fast growing, white at first, but becoming rather dark grey and powdery with development.

Microscopy: Sporangiophores to 20um wide, straight, with verticillate or solitary branches. Vesicles subglobose to pyriform with the terminal ones up to 40um and the lateral ones 10 to 30 um in diameter. Sporangiola are globose (7-11um diameter), ellipsoidal (9-13 x 6-10um), verrucose or short-echinulate, hyaline singly but brownish in mass. Temperature: optimum 25-30C; maximum up to 50C. RG-2 organism.

Key features: Zygomycete, clinical isolates grow at 40C, one-celled, globose to ovoid, echinulate sporangiola borne on swollen terminal or lateral globose to clavate fertile vesicles.
Comment: The genus Cunninghamella is characterized by white to grey, rapidly growing colonies, producing erect, straight, branching sporangiophores. These sporangiophores end in globose or pyriform-shaped vesicles from which several one-celled, globose to ovoid, echinulate or smooth-walled develop on swollen denticles. Chlamydoconidia and zygospores may also be present. Cunninghamella species are mainly soil fungi of the Mediterranean and subtropical zones, and less commonly in temperate regions. The genus now contains seven species, with C. bertholletiae the only species known to cause disease in man and animals.
About Cunninghamella bertholletiae Back to virtual assessment