Unknown 7

Mould identification: a virtual self assessment

Case history

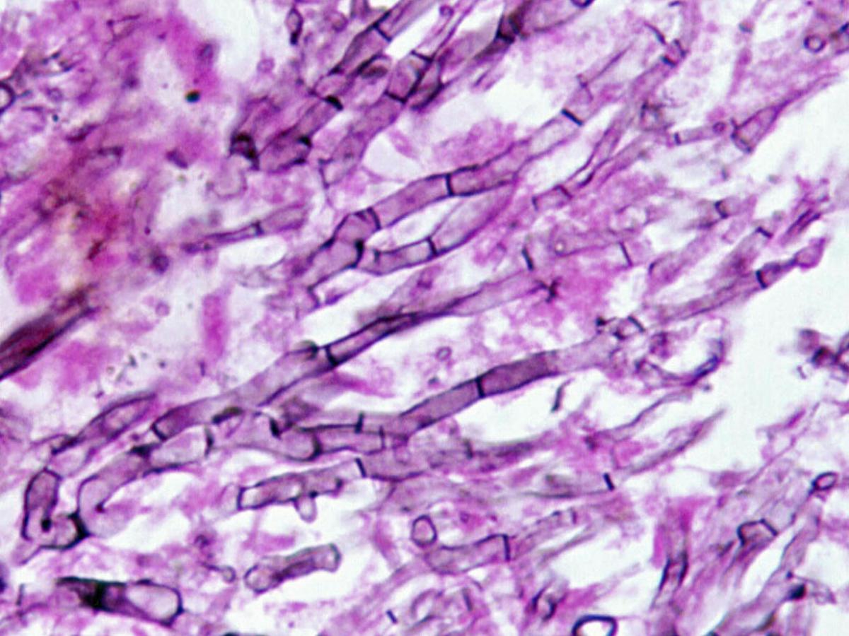
A 61-year-old man with acute myeloid leukaemia presented with chest pain and dyspnoea. Computed tomography revealed diffuse bilateral infiltrates which were considered to be suspicious for an invasive pulmonary aspergillosis of the left upper lobe. A biopsy was taken which showed the presence of fungal elements and the culture shown below was isolated.

Unknown 07 Direct microscopy (methenamine silver stain)

Direct microscopy (methenamine silver stain)

Unknown 07 culture

Culture

Unknown 07 microscopy

Microscopy

What is your identification?